Los aneurismas micóticos o aneurismas infecciosos son ensanchamientos peculiares focalizados y persistentes de una arteria debidos a debilidad en la pared del vaso sanguíneo relacionada con infecciones de cualquier tipo, normalmente bacterianas. Se pueden originar por la expansión de una infección por vía sanguínea. Su evolución natural es hacia la rápida expansión y la rotura. Los tratamientos incluyen revascularización a través de un baipás extroanatómico o un reemplazo protésico.
William Osler fue el primero en usar el término «micótico», que aún se usa ampliamente a pesar de que este adjectivo se refiere normalmente solo a afecciones por hongos.[1]
Historia
En 1885 Sir William Osler empleó el término aneurisma micótico para describir un aneurismo en forma de seta en un paciente con endocarditis. Osler reveló la relación entre las válvulas cardíacas anormales y la infección con micrococos. En la actualidad se entiende por aneurisma micótico a los aneurismas relacionados con infecciones por cualquier tipo de microorganismos,[2] excepto la aortitis sifilítica.[3]
Síntomas
Las manifestaciones clínicas suelen ser fiebre y dolor abdominal, que en general se acompañan de leucocitosis y hemocultivos positivos, mientras que la presencia de inflamación de los tejidos blandos periaórticos en la tomografía refuerzan el diagnóstico de aneurisma micótico.[4]
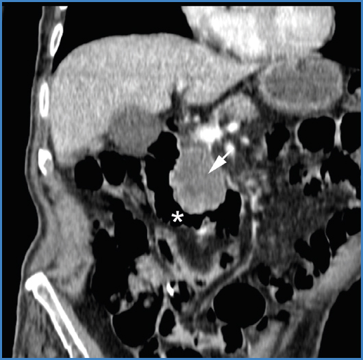
Diagnóstico
El diagnóstico debe basarse en la sospecha clínica apoyada en las técnicas de imagen, como la angiografía y la tomografía computarizada (TC), técnica de elección para la detección del aneurisma. La TC es decisiva en el diagnóstico de los aneurismas micóticos. Una vez detectados deben tratarse sin demora, pues su evolución natural es hacia la rápida expansión y rotura. La angiografía ayuda a planificar el tratamiento. La radiología intervencionista representa un papel importante en el tratamiento.[4]
Causas
Los aneurismas infecciosos, pese a su escasa prevalencia, suponen un desafío para los cirujanos vasculares que se enfrenta a ellos, dado que el diagnóstico precisa de un índice de sospecha muy elevado, habitualmente ante un paciente comprometido con sepsis, rotura arterial y localizaciones atípicas.[1]
El aneurisma micótico o infeccioso de la aorta es poco frecuente y, dadas la recurrencia de la infección, la sepsis fulminante o la rotura aórtica, tiene una morbimortalidad elevada. En la actualidad ocurre principalmente como consecuencia de traumatismos vasculares o abuso de drogas intravenosas y habitualmente se presenta en pacientes con algún grado de inmunodepresión. El germen hallado con más frecuencia en los hemocultivos y en los cultivos de la pared aneurismática y los tejidos periaórticos es Salmonella; le siguen Escherichia coli y Staphylococcus aureus.[4]
Las especies de Aspergillus son las que se encuentran más frecuentemente en los aneurismas micóticos verdaderos, que son mucho menos comunes que los aneurismas causados por bacterias.[1] Los aneurismas micóticos por Aspergillus son raros y suelen presentarse en el contexto de una aspergilosis pulmonar invasiva, bien por émbolos sépticos o por extensión directa desde los pulmones, por ello la localización más frecuente es en el cayado aórtico y aorta ascendente.[5]
Bacteriología
Aparte de Salmonella, S. aureus y E. coli, las bacterias que pueden causar los aneurismas micóticos son las siguientes:[6]
- Clostridium.
- Enterobacter.
- Klebsiella.
- Pseudomonas.
- Listeria.
- Streptococcus.
- Candida.
- Campylobacter.
- Cardiobacterium hominis.
Tratamiento
El tratamiento de elección es el quirúrgico, siempre asociado con una antibioticoterapia prolongada. La cirugía permite el drenaje de las colecciones y el desbridamiento de los tejidos infectados, seguido de la revascularización a través de un baipás extraanatómico o un reemplazo aórtico protésico in situ, este último con mejores resultados de permeabilidad a largo plazo.[4]
De manera general, los tratamientos para los aneurismas micóticos pueden ser los siguientes:[6]
- Resección de segmentos comprometidos.
- Reconstrucción de diferentes maneras:
- Derivación axilo bi-femoral y resección aórtica.
- Aorta criopreservada.
- Reemplazo con vena femoral.
- Dacron impregnado con antibiótico.
- Reparación endovascular (Veith).
- Antibioticoterapia por largos periodos.
Referencias




